Mayo Clinic AI Detects Pancreatic Cancer Years Before Diagnosis
Mayo Clinic AI Detects Pancreatic Cancer Years Before Diagnosis
Mayo Clinic has reported new validation data for REDMOD, an artificial intelligence model designed to detect early signs of pancreatic cancer on routine abdominal CT scans before tumors are visible to human readers.
According to Mayo Clinic, the model analyzed nearly 2,000 CT scans that had originally been interpreted as normal but were later linked to pancreatic cancer diagnoses. REDMOD identified 73% of prediagnostic cancers at a median of about 16 months before diagnosis, nearly doubling the detection rate of specialists reviewing the same scans without AI assistance. The advantage was even larger for scans taken more than two years before diagnosis, where the AI identified nearly three times as many early cancers.
Source: Mayo Clinic News Network, “Mayo Clinic AI detects pancreatic cancer up to 3 years before diagnosis in landmark validation study,” published April 29, 2026.
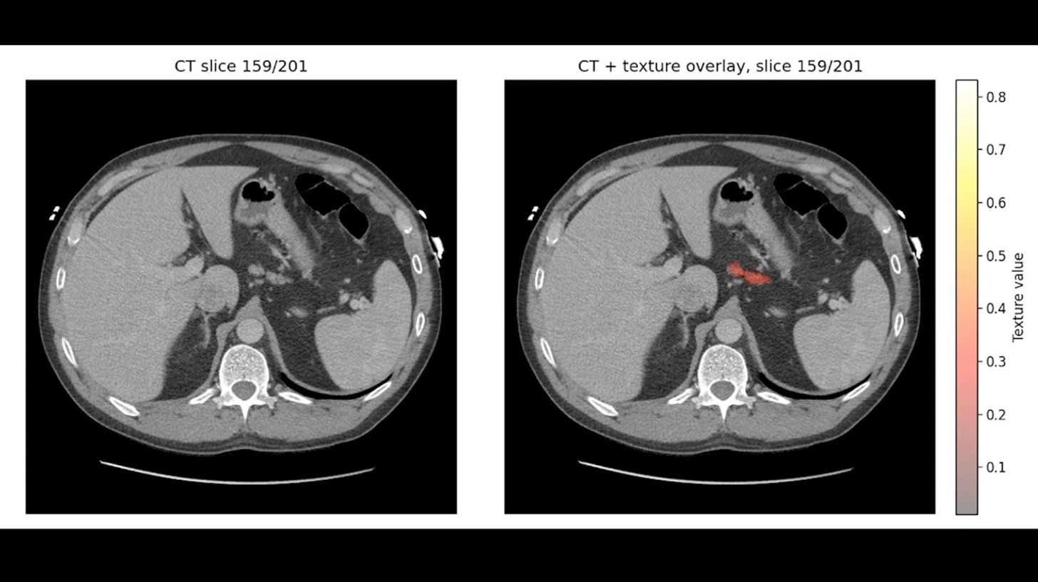
What REDMOD Does Differently
REDMOD stands for Radiomics-based Early Detection Model. Rather than looking only for a visible tumor, it analyzes subtle quantitative patterns in the pancreas that may signal early disease.
Mayo Clinic says the system measures hundreds of imaging features, including:
- Tissue texture
- Structural patterns
- Quantitative radiomic signals
- Early biological changes that may not be visible to radiologists
These features are extracted from standard CT scans that patients may already receive for other medical reasons.
Key Findings From the Validation Study
| Finding | Reported result |
|---|---|
| CT scans analyzed | Nearly 2,000 |
| Early pancreatic cancers detected by REDMOD | 73% |
| Median lead time before diagnosis | About 16 months |
| Earliest reported detection window | Up to 3 years |
| Performance beyond 2 years before diagnosis | Nearly 3x specialist detection |
The study also tested the model across CT scans from multiple institutions, imaging systems, and protocols, which Mayo Clinic described as an important step toward validating the tool in conditions that resemble real-world clinical practice.
Why Early Detection Matters
Pancreatic cancer is often diagnosed late because it usually does not cause clear symptoms in its earliest stages. Mayo Clinic notes that more than 85% of patients are diagnosed after the disease has already spread, and five-year survival rates remain below 15%, according to the National Cancer Institute.
That makes early detection especially important. If an AI model can flag high-risk scans before a visible mass appears, clinicians may have more time to investigate, monitor, and potentially treat disease while curative options are still possible.
How This Could Fit Into Routine Care
One of REDMOD’s most important features is that it is designed to run on scans patients are already getting. That could make AI-supported early screening less disruptive than a separate diagnostic test.
Mayo Clinic says the model is intended to automatically analyze routine CT scans, especially in higher-risk patients, such as those with new-onset diabetes. If validated in prospective clinical use, the system could help identify people who need closer follow-up before pancreatic cancer becomes clinically obvious.
What Comes Next
Mayo Clinic is advancing the work through AI-PACED, short for Artificial Intelligence for Pancreatic Cancer Early Detection. This prospective study is evaluating how AI-guided detection can be integrated into care for patients at elevated risk.
The next phase will need to answer practical clinical questions, including:
- How often the AI correctly flags early disease
- How many false positives it generates
- How clinicians should act on elevated-risk results
- Whether earlier detection improves patient outcomes
The Bigger Picture
REDMOD represents a broader shift in medical AI: moving from detecting obvious abnormalities to identifying early biological changes that are difficult or impossible for humans to see unaided.
For pancreatic cancer, where late diagnosis remains a major barrier to survival, that shift could be especially meaningful. The promise is not just faster image interpretation, but a new layer of early-warning intelligence built into routine medical imaging.
Still, REDMOD is not yet a replacement for clinical judgment. Its real-world value will depend on prospective testing, careful integration into care workflows, and evidence that earlier AI detection leads to better outcomes for patients.
Source Attribution
This article is based on information published by Mayo Clinic News Network about Mayo Clinic’s REDMOD pancreatic cancer early detection study and its related publication in Gut.
